OakLeaf Medical Network Healthy Viewpoints, Winter 2003
About UsNewsDirectoryHospitalCommunityRecruitmentcontact us


Dr. Phillip Porter, MD


Degenerative Disease of the Cervical Spine – More than just a Pain in the Neck

Phillip Porter, MD
Neurosurgery
Brain and Spine Institute
Eau Claire


Neck pain is one of the most common health complaints for adults. Studies estimate that one-third of adults aged 45-75 have experienced neck pain in the previous year. Common causes of neck pain include minor muscle strains, "whiplash" following an accident, and degenerative "wear and tear" of the neck. The bones of the neck make up the cervical spine. The discs of the spine act as cushions between the bones. Cervical spondylosis refers to degeneration of the discs and arthritis of the joints of the cervical spine. With degeneration, the discs can collapse, bulge and form bone spurs and tissues in the area may thicken abnormally.

Approximately 80% of patients over the age of 55 have evidence of cervical spondylosis on x-rays, but most do not have significant symptoms. Cervical spondylosis can cause three associated problems:

  1. Axial neck pain – discomfort in the neck which may radiate between the shoulder blades and into the shoulder or upper arm regions. Neck pain is often present upon awakening. There may be painful limitation of motion of the neck. Often sleep is disturbed.
  2. Cervical radiculopathy – compression of one or more nerves, causing shooting or aching pains from the neck into the arm(s) associated with numbness, tingling and weakness.
  3. Cervical myelopathy – compression of the spinal cord causing symptoms in the arms and legs including impaired walking and balance (legs feel slow, tired or uncoordinated) and numb, clumsy hands. The most common levels affected by degeneration are the mid- to lower areas of the neck.

Other serious but less common medical conditions can cause similar symptoms, but can be distinguished with appropriate medical examination. The best imaging for the cervical spine is an MRI, but plain x-rays and CT scans are helpful, too. An EMG/nerve conduction study may help to confirm nerve compression.

The appropriate initial therapy of these conditions may include:

  • Modification of activities – avoidance of repetitive neck movements or lifting and working above shoulder level.
  • Medications – including acetaminophen, anti-inflammatory drugs, muscle relaxants and short-term narcotics.
  • Chiropractic treatment and physical therapy – massage, heat, ice, and exercise programs, etc.
  • Pain management – injection of local anesthetic and steroid into the affected area under x-ray guidance.

The vast majority of simple neck pain episodes will resolve with time and treatment, although the degeneration may cause recurrences. Surgery may be suggested for cervical radiculopathy if conditions fail to improve, or if progression of neurological deficits such as weakness continues. For cervical myelopathy, non-surgical methods may be tried if the symptoms are mild or if the patient is a poor surgical risk. It is important not to delay seeking medical expertise or allow symptoms to become too severe as the spinal cord does not recover as well.

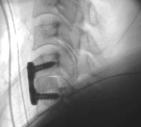
Surgical treatment typically involves taking the pressure off the nerves or spinal cord at one or more levels and fusion of the involved segment(s) with a bone graft and instrumentation (plates, rods and screws) (see below). The surgery may be performed from the front or back of the neck. Advanced imaging technology and electrical monitoring of the nervous system helps to improve patient safety and outcomes. Most patients need a brief period of close neurological monitoring after surgery followed by progressive return to their usual activities. Severely affected patients with myelopathy may require inpatient rehabilitation; other patients may be discharged within a day after surgery. A rigid neck collar may need to be worn for up to three months. The length of time off work is highly variable depending on the nature of the job, the type of surgery performed and the patient's response.

For more information on cervical degeneration or to schedule an appointment, contact Dr. Phillip Porter 715.858.1777 at The Brain & Spine Institute, Eau Claire.

X-ray of the neck showing plate and screws in place after removal of the disc

Post-operative CT scan showing screws and plate in cross-section

Front view of the spine (3-Dimensional CT scan) with plate

Current
Archive